A to Z Index
|
Directories
< Previous
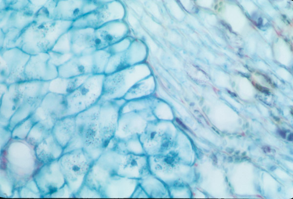
Seymeria pectinata Scrophulariaceae
Next >
< Previous
Next >
Comments:
haustorium (left), host right.
Added:
9/15/05
Download:
Seymeria pectinata Scrophulariaceae
(600x408 88340 bytes)
WARNING:
Accurate determination of this plant or fungus depends on more than this single image.
Plants
Images
Plant Photo Index
A
B
C
D
E
F
G
H
I
J
K
L
M
N
O
P
Q
R
S
T
U
V
W
X
Y
Z
All Plants
Plant Resources
Introduction
Blackwater Ecological Preserve
George Edward Post
Musselman Page
Maintained by:
Webmaster
Updated: 03/30/09 | © 2006
Old Dominion University
, Norfolk, VA 23529 |
Privacy